L’os naviculaire accessoire est une particularité anatomique du pied qui touche environ 15 % de la population. Souvent asymptomatique, cet os supplémentaire situé sur la face interne du pied peut parfois devenir une source de douleur chronique et d’inconfort. Face à cette pathologie, une question centrale se pose : faut-il envisager l’opération ou privilégier des traitements non invasifs ?
Cet article explore en détail les critères qui mènent à la chirurgie et les alternatives efficaces pour soulager vos douleurs.
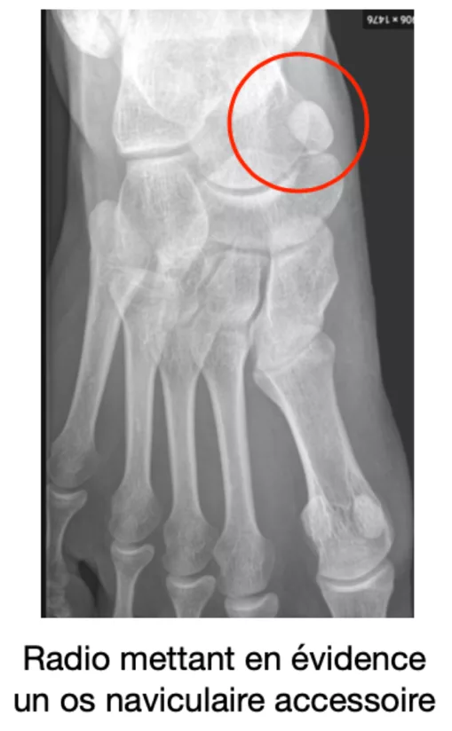
Qu’est-ce qu’un os naviculaire accessoire ?
L’os naviculaire accessoire est un petit os surnuméraire situé juste à côté de l’os naviculaire, sur le bord interne du pied, au niveau de l’arche plantaire. Il est incorporé dans le tendon du muscle tibial postérieur, qui joue un rôle crucial dans le maintien de la voûte plantaire.
La plupart des gens ignorent qu’ils possèdent cet os jusqu’à ce qu’un traumatisme (entorse de la cheville), le port de chaussures inadaptées ou une activité physique intense déclenche une inflammation. Elle se manifeste par une bosse osseuse visible, une rougeur et une douleur lors de la mobilisation.


Les Alternatives à la Chirurgie : Le Traitement de Première Intention
Avant d’envisager la chirurgie, un protocole de soins conservateurs est recommandé. L’objectif est simple : calmer l’inflammation et réduire la tension exercée sur le tendon tibial postérieur.
Voici les principales solutions non chirurgicales :
1. Le repos et la modification des activités
La première étape consiste à limiter les activités qui exacerbent la douleur, comme la course à pied ou les sports de saut. Dans les cas de crise aiguë, une période de décharge (marche avec béquilles) ou le port d’une botte de marche peut être prescrit pour immobiliser le pied.
2. Le glaçage et les anti-inflammatoires
L’application de glace plusieurs fois par jour aide à réduire l’œdème. En complément, des anti-inflammatoires non stéroïdiens (AINS) par voie orale ou locale peuvent être prescrits pour gérer la douleur et l’inflammation des tissus mous.
3. Les orthèses plantaires (semelles orthopédiques)
C’est souvent la solution la plus efficace à long terme. Des semelles sur mesure permettent de soutenir la voûte plantaire et de corriger un pied plat (valgus), souvent associé à cette pathologie. En soutenant l’arche, on diminue la traction excessive du tendon sur l’os accessoire, soulageant ainsi la zone douloureuse.
4. La kinésithérapie
Un programme de rééducation ciblé permet de renforcer le muscle tibial postérieur et les muscles intrinsèques du pied. Le kinésithérapeute travaillera également sur la souplesse de la cheville et l’équilibre pour prévenir les récidives.
5. L’infiltration de corticoïdes
Si la douleur persiste malgré les mesures précédentes, une infiltration locale de corticoïdes peut être proposée. Elle permet de réduire l’inflammation de manière puissante et ciblée, bien que son effet soit temporaire.
Quand faut-il opérer un os naviculaire accessoire ?
La chirurgie n’est jamais la première option. Elle est réservée aux cas où le traitement conservateur a échoué. On considère généralement l’opération après 3 à 6 mois de traitement médical bien conduit sans amélioration notable.
Voici les principaux critères qui orientent vers une intervention chirurgicale :
- Douleur chronique invalidante : Le patient ne peut plus pratiquer ses activités sportives ou ressent une gêne constante à la marche quotidienne.
- Échec des semelles orthopédiques : Malgré le port régulier d’orthèses, l’inflammation persiste.
- Intolérance au chaussage : La proéminence osseuse est telle qu’il devient impossible de trouver des chaussures confortables sans ressentir de frottements douloureux.
En quoi consiste l’opération ?
L’intervention la plus courante est la technique de Kidner. Elle se déroule généralement en chirurgie ambulatoire (vous rentrez chez vous le jour même). Le chirurgien procède à :
- L’ablation de l’os naviculaire accessoire.
- La résection de la proéminence de l’os naviculaire principal pour éviter les frottements futurs.
- La réinsertion du tendon tibial postérieur sur l’os naviculaire restant, afin de restaurer sa fonction de maintien de la voûte plantaire.
Les suites opératoires nécessitent souvent une immobilisation par plâtre de 6 semaines, suivie d’une rééducation progressive. Le retour au sport se fait généralement 3 mois après l’intervention.

Conclusion
L’os naviculaire accessoire est une condition fréquente qui ne nécessite pas toujours une solution chirurgicale. Dans la majorité des cas, une approche combinant repos, semelles orthopédiques adaptées et kinésithérapie suffit à faire disparaître les symptômes. La chirurgie est très efficace, mais réservée aux douleurs réfractaires qui impactent la qualité de vie.
Si vous ressentez une douleur sur le bord interne du pied, n’attendez pas : consultez un podologue ou un chirurgien orthopédiste pour établir le diagnostic précis et débuter un traitement adapté.