Ostéotomie fémorale de varisation dans les Hauts-de-Seine
Chirurgie du genou
Qu'est ce qu'une ostéotomie fémorale de varisation ?
Dr Tournemine dans les Hauts-de-Seine, 92
L’ostéotomie fémorale de varisation (OFV) consiste à couper une partie du fémur pour corriger son défaut d’axe. En cas de jambes désaxées en varus (jambes arquées) ou en valgus (jambes en X), les contraintes sont moins bien réparties dans le genou, source de douleurs et d’usure du cartilage (arthrose).
En réalignant correctement la jambe on répartit correctement les contraintes au centre du genou ce qui soulage les douleurs, retarde l’apparition de l’arthrose et augmente la durée de vie l’articulation. Cette chirurgie est particulièrement adaptée avant l’âge de 60 ans en cas d’arthrose modérée. Après 65 ans, on discute plutôt une pose de prothèse unicompartimentale (PUC) du genou.
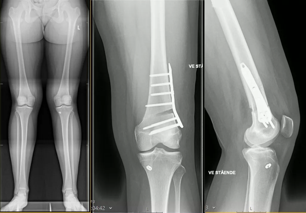
Opération d'une ostéotomie fémorale de varisation
Spécialiste de la chirurgie du genou dans le 92
Cette intervention nécessite une correction très précise, pour cela une planification 3D de votre genou est réalisée à l’aide d’un scanner et des guides de coupe sur mesure sont produits pour s’adapter parfaitement à votre genou et obtenir la correction nécessaire.
Une incision d’environ 15cm est réalisée à la partie basse du fémur pour positionner les guides et réaliser la coupe sur mesure. L’ostéotomie est ensuite ouverte pour réaxer la jambe selon la planification. Elle est fixée par une plaque métallique et des vis. L’espace créé par l’ouverture est greffé par un substitut osseux pour accélérer la consolidation de l’os.
L’intervention dure environ 40 minutes.
Elle a lieu sous anesthésie générale ou rachianesthésie (seules les jambes sont anesthésiées). Vous déciderez du type d’anesthésie en concertation avec l’anesthésiste lors de la consultation.
Cette chirurgie peut être réalisée en ambulatoire, le patient rentre chez lui le jour de l’intervention, ou nécessiter un jour d’hospitalisation.
Ostéotomie fémorale de varisation à Rueil-Malmaison
Chirurgie du genou dans les Hauts-de-Seine
Quand opérer d'une ostéotomie fémorale de varisation
L’arthrose de genou (gonarthrose) est une usure de l’articulation, aucun traitement ne permet de guérir cette usure et l’évolution naturelle se fait vers la dégradation. Différents traitements sont mis en place pour soulager la douleur : mesures hygiéno-diététiques, médicaments antalgiques, anti-inflammatoires et rééducation. Lorsque ces traitements deviennent insuffisants et que le patient est gêné dans la vie quotidienne une ostéotomie fémorale peut être envisagée.
Cette intervention est efficace sur l’arthrose débutante chez un patient de moins de 65 ans, en cas d’arthrose trop évoluée ou après 65 ans on évoquera plutôt la pose de prothèse unicompartimentale (PUC). D’où la nécessité d’évoquer relativement précocement ce type d’intervention. D’autres facteurs sont à prendre en compte comme l’importance de la déformation, une rupture ligamentaire associée, le niveau d’activité, les antécédents du patient…
Ce type de chirurgie est donc à adapter au cas par cas, une discussion avec votre chirurgien sera nécessaire pour choisir entre la prothèse unicompartimentale et l’ostéotomie fémorale de varisation.
Rééducation postopératoire d'une ostéotomie fémorale de varisation
Après l’opération, le changement du pansement est nécessaire tous les deux jours pendant environ 2 semaines. Le traitement de la douleur est mis en place et surveillé de manière rapprochée pour obtenir le maximum de confort et une rééducation rapide. Un traitement anticoagulant est nécessaire pendant 6 semaines pour fluidifier le sang et prévenir le risque de phlébite.
Après l’opération le genou est maintenu dans une attelle articulée et la marche est autorisée avec deux cannes pour limiter l’appui pendant 6 semaines. Nous utilisons des protocoles de récupération accélérée après chirurgie (RAAC), vous serez accompagnés par un kiné pour marcher et débuter la rééducation le jour même de l’opération. La mobilisation précoce associée à la kinésithérapie, est un facteur-clé d’une évolution favorable car elle maintient et améliore la fonction musculaire et la mobilité du genou.
Après quelques jours d’hospitalisation, votre chirurgien autorisera votre sortie avec les ordonnances de soins nécessaires (pansements, antalgiques, anticoagulants, kinésithérapie). La rééducation doit être poursuivie soit à domicile avec un kinésithérapeute soit en centre de rééducation. La reprise précoce de vos activités constitue la meilleure rééducation.
La conduite automobile est envisageable environ 6 semaines après l’opération. L’arrêt de travail est également d’environ 6 semaines, cela dépend évidemment de votre profession, les activités de bureau pouvant être reprises plus rapidement.
Les activités sportives débutent progressivement après le 3e mois. Ces durées sont des moyennes, elles dépendent de chacun, et sont données à titre indicatif.
Ultérieurement, un suivi régulier, clinique et radiographique est indispensable pour surveiller votre genou et dépister toute anomalie.
Risques et complications d'une ostéotomie fémorale de varisation
Tout est mis en place pour que l’évolution soit favorable. Cependant il existe un risque de complications chirurgicales, rares mais possibles :
- phlébite et embolie pulmonaire : complication rare, prévenue par la prescription d’anticoagulants pour fluidifier le sang pendant deux semaines après l’opération ;
- aggravation d’une maladie existante : insuffisance cardiaque, diabète… Une surveillance médicale par l’équipe d’anesthésie est mise en place après l’opération pour prévenir ce type de complications ;
- infection (risque inférieur à 1%). Dans ce cas une nouvelle opération s’avère nécessaire pour laver l’articulation, suivie d’un traitement antibiotique ; le tabac augmentant de manière significative le taux d’infection et les difficultés de cicatrisation, il est formellement demandé d’arrêter le tabac au moins un mois avant l’intervention et ensuite pendant trois mois.
- une perte de mobilité et une raideur du genou peuvent s’installer si la rééducation postopératoire n’est pas correctement effectuée ;
- hématome, il est possible que la zone opérée saigne après l’intervention et forme un hématome. En fonction de l’importance du saignement, une évacuation de l’hématome ou une transfusion peuvent être nécessaires ;
- des petites branches nerveuse sensitives qui innervent le genou peuvent être accidentellement blessées. Cette complication rare peut occasionner une diminution de la sensibilité sur certaines zones du genou ;
- la pseudarthrose (absence de consolidation), complication rare qui peut nécessiter une nouvelle intervention pour stimuler la consolidation osseuse.
- L’algodystrophie : phénomène douloureux et inflammatoire encore mal compris, elle est traitée médicalement et peut durer plusieurs mois (voire parfois années), entraînant une prise en charge spécifique avec rééducation adaptée, bilans complémentaires et parfois prise en charge spécifique de la douleur. Elle est imprévisible dans sa survenue comme dans son évolution et ses séquelles potentielles.
- La lésion du nerf sciatique poplité interne ou externe est une complication très rare dans ce type d’ostéotomie. Elle peut survenir après un hématome, un traumatisme chirurgical ou après une réaction à l’anesthésie locorégionale. Elle peut récupérer après plusieurs mois dans certains cas.
- L’atteinte des vaisseaux de la jambe est aussi très rare ; elle peut nécessiter un geste complémentaire ou une ré- intervention urgente pour rétablir l’irrigation de la jambe.
- Le syndrome des loges est une augmentation de la pression dans la jambe le plus souvent par un hématome qui bloque la microcirculation sanguine et nécessite une décompression urgente.
Il s’agit là des principaux risques mais la liste n’est pas exhaustive. D’autres complications exceptionnelles peuvent avoir lieu. Toutes les complications ne peuvent être précisées, ce que vous avez compris et accepté. Votre chirurgien se tient à votre disposition pour discuter chaque cas particulier.
Résultats d'une ostéotomie fémorale de varisation
L’évolution naturelle d’une arthrose sur un genou désaxé est défavorable. La déformation se majore progressivement et le genou se dégrade avec apparition de lésions méniscales, cartilagineuses et arthrosiques nécessitant à terme une prothèse.
Le but de l’ostéotomie fémorale de varisation est double :
- Réaxer le genou pour supprimer les sensations de douleur et d’instabilité et reprendre une activité sportive
- Mieux répartir les contraintes dans le genou et ralentir son usure à long-terme.
Grâce à la planification 3D sur mesure on obtient une correction très précise, avec de très bons résultats dans la majorité des cas. L’ostéotomie permet aux termes de 6 semaines de reprendre progressivement toutes ses activités personnelles, professionnelles et sportives. Toutes les activités sportives peuvent être reprises sans limitation après cette chirurgie.